Institut für Radiologie, Neuroradiologie und interventionelle Therapie

Unser Institut für Radiologie, Neuroradiologie und interventionelle Radiologie ist auf die hochmoderne Bildgebung und minimalinvasive interventionelle Therapieverfahren spezialisiert. Mit einem engagierten Team aus erfahrenen Radiologen, medizinischen Technologen, Fachpersonal und modernster Geräteausstattung bieten wir Ihnen ein breites Leistungsspektrum in der Bilddiagnostik und Therapie nach neuesten medizinischen Standards an.
- Bildgebende Diagnostik: Hochauflösende Bildgebung durch MRT, CT, Ultraschall und Röntgenuntersuchungen.
- Interventionelle Therapien: Bildgesteuerte minimal-invasive Eingriffe, die eine präzise Diagnostik und Therapie ermöglichen, wie z.B. Biopsien, Drainagen und Gefäßinterventionen.
- Spezielle Verfahren: Dazu gehören die interventionelle Schmerztherapie, Tumorbehandlungen und die Behandlung von Gefäßerkrankungen.
- Pädiatrische Radiologie: Spezielle Diagnostik und Therapie für unsere kleinen Patienten.
Warum wir?
Expertise: Unser Team besteht aus hochqualifizierten Fachärzten mit umfangreicher Erfahrung in der Radiologie.
Technologie: Wir nutzen die neuesten Technologien und Verfahren, um Ihnen die bestmögliche Versorgung zu bieten.
Patientenorientierung: Ihre Gesundheit und Ihr Wohlbefinden stehen bei uns an erster Stelle. Wir nehmen uns Zeit für Ihre Fragen und Anliegen.
Ansprechpartner
Team
PD Dr. med. Anne Marie Augustin
Leitende Oberärztin
Fachärztin für Radiologie
Schwerpunkt Interventionelle Radiologie
DeGIR-Zertifikat: Stufe 2 Module A-D
Martin Havla
Oberarzt
Zusatzqualifikation Interventionelle Radiologie
DeGIR-Zertifikat: Stufe 2 Module A-D
Aiste Matuleviciute-Stojanoska, Dr. med.
Oberärztin
Leitung MRT-Bildgebung und Mammografie
DRG-Zertifikat: Herz-CT
Unsere Assistenzärzte:
Faruk Colak
Angelina Grandel
Abdulrahman Haidar
Maximilian Holz
Dr. Bettina Kempf
Sravan Kumar Koyyala
Dr. Martin Nüssel
Dr. Magin Eduardo Sosa Contreras
Volha Viarenich
Anmeldungen
Privatambulanz Prof. Dr. Thorsten Klink, EBIR, EBCR an beiden Klinikstandorten
- ambulante Bildgebung MRT, CT, Röntgen, Durchleuchtung, Mammographie
- zur Beratung über interventionelle minimal-invasive Therapieverfahren
- ambulante interventionelle Eingriffe und Biopsien
Ambulante Terminvergabe und Kontaktaufnahme für
- Mammographie für gesetzlich versicherte Patientinnen
- Patienten der Ambulanten Spezialfachärztlichen Versorgung (ASV)
- zur Anforderung schriftlicher Befunde
- Bildausgabe auf DVD oder CT
- Bilddatentransfer mittels TK-Med
- Zweitmeinung zu externen radiologischen Untersuchungen
Montag bis Freitag von 7:30 bis 15:30 Uhr
Für Standort Klinikum 0921 400-5799
E-Mail schreiben
Team Anmeldung:
Jutta Kaiser
Stefanie Friedel
Heike Rogowski
Für Standort Hohe Warte 0921 400-4499
E-Mail schreiben
Team Anmeldung:
Silke Fichtel
Susanne Nicklas
Andrea Niegel
Das Leistungsspektrum
Unsere Großgeräte

2 Magnetresonanztomographen (MRT) mit 1.5 T und 3.0 T
3 Computertomographen (256-MSCT mit Spektraltechnik und zwei 64-MSCT-Scanner)
2 Angiographie Suiten (1 x biplan und 1 x monoplan)
4 digitale Röntgenanlagen
2 mobile Röntgenanlagen
1 roboter-assistierte Röntgenanlage
1 volldigitale Mammographie-Anlage mit 3D-Tomosynthese und Biopsiefunktion
1 Durchleuchtungsanlage
Bildgebende Diagnostik
Röntgen
Diese Technik nutzt Röntgenstrahlen, um Bilder von den inneren Strukturen des Körpers zu erstellen. Sie ist besonders nützlich zur Diagnose von Lungenerkrankungen, Knochenbrüchen und anderen Erkrankungen des Skelettsystems. Unser Institut bietet Röntgenuntersuchungen aller Art in digitaler Technik mit sehr geringer Strahlenexposition an.
Durchleuchtung
Bei dieser Methode wird ein kontinuierlicher Röntgenstrahl verwendet, um bewegte Bilder von inneren Organen zu erzeugen. Sie wird häufig eingesetzt, um dynamische Vorgänge, wie den Schluckvorgang oder die Magen- und Darmpassage, zu untersuchen.
Computertomographie (CT)

Bei dieser Untersuchung werden mehrere Röntgenbilder aus verschiedenen Winkeln aufgenommen und von einem Computer zu einem detaillierten Querschnittsbild des Körpers zusammengesetzt.
CT-Scans sind hilfreich, um Tumore, innere Verletzungen oder Erkrankungen der Organe zu erkennen. Zur Verbesserung des Kontrastes dabei muss oft Kontrastmittel über eine Injektion in eine Vene verabreicht werden. Die CT bietet eine sehr hohe Bildqualität in 3D bei einer Untersuchungsdauer von nur wenigen Sekunden.
Wir bieten CT-Untersuchungen von allen Körperregionen für jede Patientin und jeden Patienten individuell an. Unsere CT-Geräte sind für eine strahlendosis-einsparende Untersuchungstechnik optimiert. Auch alle Spezialuntersuchungsverfahren, wie Niedrigdosis-Untersuchungen der Lunge oder EKG-getriggerte Untersuchungen des Herzens oder Spektraluntersuchungen, werden bei uns mit viel Erfahrung durchgeführt.
Magnetresonanztomographie (MRT)
Diese Technik verwendet starke Magnetfelder und Radiowellen, um hochauflösende Bilder von Organen und Geweben zu erzeugen. MRT ist besonders gut geeignet, um Weichteile wie das Gehirn, die Muskeln und die Gelenke zu untersuchen. Bislang sind keine schädlichen Wirkungen dieses Verfahrens auf den Menschen bekannt.
In unserem neuen MRT Zentrum werden wir ab Juni 2025 über eine erstklassige Räumlichkeiten und eine exzellente technische Ausstattung für alle MRT-Untersuchungsverfahren verfügen. Gerade Spezialverfahren, wie MR-Angiographie, die MRT der Prostata, der weiblichen Brust (MR-Mammographie), Leberuntersuchungen mit speziellen Kontrastmitteln, die funktionelle Beckenbodendiagnostik sowie spektroskopische Verfahren werden bei uns angeboten. Ein Schwerpunkt wird die Herz-Diagnostik sein, wo wir strukturelle Herzerkrankungen abklären sowie Blutflussuntersuchungen und Stress-Herz-Untersuchungen anbieten werden.
Senologie und Mammadiagnostik
Die Senologie und die Mammadiagnostik beschäftigen sich mit dem Erkennen und Differenzieren von Erkrankungen der Brust. Im Vordergrund steht die Früherkennung und Diagnostik von Brustkrebs oder dessen Vorstufen sowie die Nachsorge nach Therapie.
In unserem Institut steht die gesamte Bandbreite der modernen Brustdiagnostik zur Verfügung. Diese beinhaltet die Mammographie, die 3D Tomosynthese, die Mammasonographie sowie MR-Mammographie.
Zur Diagnosesicherung anhand von Gewebeproben werden verschiedene bildgezielte Biopsieverfahren angeboten. Vor Operationen werden die Tumorherde hochpräzise für eine gewebeschonende, brusterhaltende Operationen von uns markiert.
Neuroradiologie
Die Neuroradiologie ist ein Spezialgebiet für Erkrankungen des Kopfes und des Nervensystems und ein separater Fachbereich innerhalb unseres Instituts, der in Kooperation mit dem Institut für Neuroradiologie am Universitätsklinikum Erlangen durch Herrn Prof. Dr. Arnd Dörfler und sein Team am Klinikum Bayreuth geleitet wird. Unser umfassendes Angebot in der Neuroradiologie finden Sie hier.
Interventionelle, minimalinvasive Therapieverfahren



Die interventionelle Radiologie ist ein hochmodernes Spezialgebiet, das diagnostische Bildgebung mit gezielten minimal-invasiven Eingriffen kombiniert. Unter der Steuerung von Röntgen, Ultraschall, CT oder MRT führen wir Eingriffe präzise durch, und können damit offene Operationen oftmals vermeiden. Über eine Punktion von Gefäßen oder Gallengängen in Lokalanästhesie behandeln wir in Kathetertechnik eine Vielzahl unterschiedlicher Krankheitsbilder. Aufgrund der minimalen Invasivität ist bei dieser Therapieform nur selten eine Allgemeinnarkose notwendig. Dadurch sind die Eingriffe sehr schonend.
Diese modernen Therapieverfahren werden nach neuesten wissenschaftlichen Erkenntnissen in enger Abstimmung mit unseren klinischen Partnern an der Klinikum Bayreuth GmbH sowie den niedergelassenen Ärzten durchgeführt. Zur Behandlung von Notfällen, wie Blutungen oder akuten Gefäßverschlüssen, halten wir einen 24/7 Bereitschaftsdienst vor.
Unser Institut ist seit 2020 Ausbildungszentrum der Deutschen Gesellschaft für interventionelle Radiologie (DeGIR). Unsere interventionell-radiologisch tätigen Ärztinnen und Ärzte haben sich nach den Richtlinien der DeGIR spezialisiert. Unser Institut nimmt außerdem an der jährlichen Qualitätssicherung der DeGIR teil.
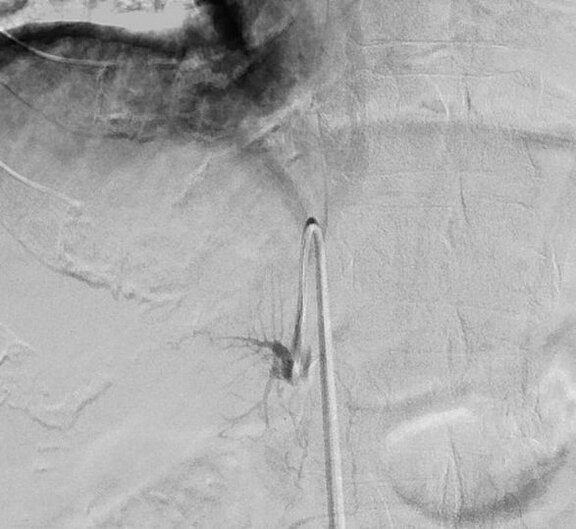
Gefäßeröffnende Therapie bei arteriellen und venösen Durchblutungsstörungen

Die Behandlung verengter oder verschlossener Blutgefäße - mit Ausnahme des Herzens - macht einen Großteil der bei uns durchgeführten Eingriffe aus. Dazu zählt die Therapie der peripheren arteriellen Verschlusskrankheit (Schaufenstererkrankung), Nierenarterienstenosen oder Engstellen der darmversorgenden Gefäße. Ein weiterer Teilbereich ist die Behandlung von Komplikationen bei Dialyseshunts.
Hierbei kommen verschiedenste hochmoderne Techniken zum Einsatz. Diese beinhalten die Aufdehnung von Engstellen mit einem Ballonkatheter oder die Stentimplantation (Angioplastie), das Absaugen von Thromben (Aspirationsthrombektomie), aber auch weitere hochspezifische Verfahren wie z.B. die Verwendung von „Gefäßfräßen“ (sog. Atherektomie) oder auch der Einsatz von Stoßwellen (Lithoplastie). Auch venöse Engstellen oder Gefäßverschlüsse können unter Einsatz endovaskulärer Techniken behandelt werden. Hierzu zählen zum Beispiel tumorbedingte Einengungen der großen Hohlvene oder auch Thrombosen.
Die Behandlung von Patientinnen und Patienten mit Gefäßerkrankungen erfolgt dabei in enger interdisziplinärer Absprache mit den Kollegen der Gefäßchirurgie, um die besten Behandlungsergebnisse zu erzielen.
Gefäßverschließende Verfahren
Gefäßverschließende Techniken kommen bei einer Vielzahl von verschiedenen Krankheitsbildern, unter anderem bei schweren Blutungsnotfällen, z.B. in Folge eines Unfalls oder nach einem operativen Eingriff zum Einsatz. Zum Gefäßverschluss werden Embolisationsspiralen, Partikel oder Flüssigembolisate eingesetzt. Weitere Indikationen für interventionelle, gefäßverschließende Verfahren sind die minimal-invasive Behandlung von gefährlichen Gefäßaussackungen (Aneurysmen) oder Fehlbildungen (zum Beispiel arteriovenöse Malformationen), von Krampfadern am Hoden (Varikozelen-Embolisation) und viele Weitere.
Uterusaterienembolisation (UAE)
Myome sind gutartige Tumore der Gebärmutter, die aufgrund ihrer Größe oder Lage Probleme verursachen können, wie zum Beispiel starke Regelschmerzen, Regelblutungen oder auch Druckgefühl. Für die Behandlung von Uterusmyomen stehen verschiedene operative und nicht operative Verfahren zur Verfügung.
Bei der Uterusarterienembolisation handelt es sich um ein minimal-invasives, gebärmutter-erhaltendes Verfahren zur Behandlung von symptomatischen Uterusmyomen. Hierbei wird über die Leistenarterie ein kleiner Katheter bis in die die Gebärmutter-versorgenden Arterien vorgeführt. Anschließend werden die das Myom-versorgenden Gefäße verschlossen. Die reduzierte Blutzufuhr führt zu einem Schrumpfen der Myome und einem Rückgang der Symptomatik
Welches Therapieverfahren im Einzelfall am besten geeignet ist, wird interdisziplinär von erfahrenen Gynäkologen und Radiologen entschieden.
CIRSE Patienteninformation: Embolisation von Uterusmyomen
Prostataarterienembolisation (PAE)
Eine gutartige Vergrößerung der Prostata ist mit zunehmendem Alter sehr häufig – ab dem 60. Lebensjahr leidet etwa jeder zweite Mann unter einem sog. benignen Prostatahyperplasiesyndrom (BPH). Da die Prostata die Harnröhre umschließt, kann bei einer Vergrößerung der normale Harnabfluss aus der Blase gestört sein. Viele Patienten leiden dann besonders nachts unter häufigem Harndrang, jedoch kann auch tagsüber unerwartet starker Harndrang auftreten. Darüber hinaus kann der Harnstrahl abgeschwächt sein, sodass sich das Wasserlassen zeitlich verlängert.
Zunächst erfolgt eine Behandlung der benignen Prostatahyperplasie mit Medikamenten. Wenn eine medikamentöse Therapie nicht ausreicht, wird in der Regel eine operative Ausschälung der Prostata durch die Harnröhre vorgenommen (TUR), um die Engstelle zu erweitern. Eine zusätzliche Option kann die offene Resektion der Prostata darstellen.
Ein weitgehend neues, alternatives Verfahren stellt die Prostataarterienembolisation (PAE) dar. Hier wird in lokaler Betäubung ein Katheter über eine Leistenarterie bis in die Prostataarterien vorgeführt. Unter Bildsteuerung werden diese unter Kontrastmittelgabe identifiziert und anschließend unter Einsatz partikulärer Embolisate verschlossen. Durch unterbundene Blutzufuhr nimmt die Größe der Prostata in den folgenden Wochen ab und die Symptome werden hierdurch gelindert.
Präzise minimal-invasive Tumortherapien (Krebsbehandlung)
Transarterielle Chemoembolisation (TACE)
Bei der transarteriellen Chemoembolisation handelt es sich um ein Therapieverfahren für Leberkrebs und andere Tumorarten mit einem arterialisierten Gefäßsystem, bei denen eine Operation oder andere Verfahren nicht angezeigt sind. Über einen Gefäßzugang, zum Beispiel die Leistenarterie, wird ein Katheter in die Leberarterie eingeführt. Dort wird eine gezielte Unterbrechung der Blutzufuhr der Tumore durch die Verabreichung von speziellen Medikamenten (Partikeln) und Chemotherapeutika erreicht. Durch die lokale Freisetzung hochdosierter Chemotherapie und die Unterbindung der Blutzuvor kommt es zu einem Absterben der Krebszellen, wodurch der Tumor am weiteren Wachstum gehindert wird und schrumpft.
CIRSE Patienteninformation: Transarterielle Chemoembolisation (PDF)
Selektive interne Radiotherapie (SIRT)
Die selektive interne Radiotherapie (SIRT) ähnelt der transarteriellen Chemoembolisation. Die SIRT wird bei nicht operablem Leberzellkrebs sowie bei Lebermetastasen eingesetzt. Anstatt kleiner, mit Chemotherapie beladener Kunststoffteilchen werden winzige radioaktive Mikrosphären im Gefäßbett der Tumore freigesetzt. Auch dies führt über einen Verschluss der Blutzufuhr und über die lokalen Strahlenwirkungen zu einem Absterben der Krebszellen. Der Eingriff erfolgt in Zusammenarbeit mit der Klinik für Nuklearmedizin.
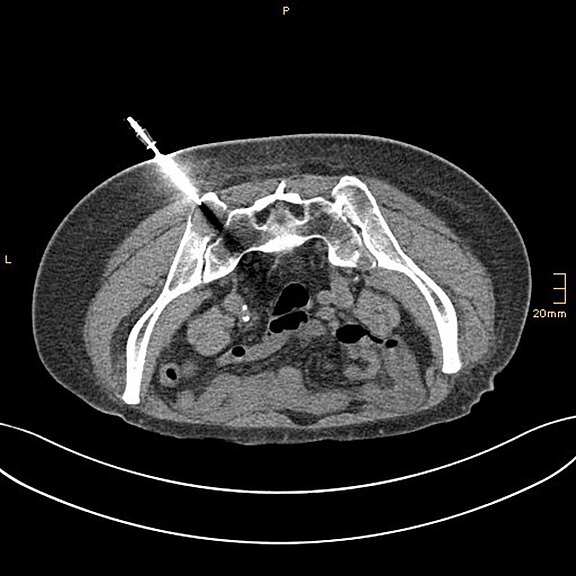
Tumorablationen (RITA, RFA, MWA)
Wir führen minimal-invasive Thermoablationen von Lebertumoren, z.B. bei Leberkrebs oder Lebermetastasen, und von Nierentumoren durch. Auch Lungentumore und Knochentumore sind behandelbar. Wir verwenden Radiofrequenz- oder Mikrowellen-Technik. Die Mikrowellenantenne in Form einer Nadel wird CT-gezielt während einer Kurznarkose zum Tumor vorgeführt. Über diese Sonde wird die Tumorregion erhitzt und der Tumor verkocht. Bei unkompliziertem Verlauf wird die Patientin oder der Patient über Nacht stationär überwacht und dann nach Hause entlassen.
Interventionelle Schmerztherapie

Unterschiedliche Schmerzsymptome lassen sich unter Einsatz interventionell-radiologischer Techniken effektiv behandeln:
Transarterielle periartikuläre Embolisation (TAPE)
Chronische Gelenkschmerzen sind sehr weit verbreitet und gehen für die betroffenen Patienten meist mit einem relevanten Verlust an Lebensqualität und Funktionalität einher.
Die Gelenkembolisation ist eine innovative, minimal-invasive Behandlungsmethode für chronische Gelenkschmerzen bei Arthrose der großen und kleinen Gelenke (z.B. Knie, Schulter, Hüfte) oder Beschwerden in Folge einer Überlastung der Sehnen (Tennisellbogen, Achilles- oder Patellasehnen-Entzündungen etc.). Durch gezielten Verschluss kleinster, gelenkversorgender Gefäße wird die zugrundeliegende Entzündungsreaktion unterbunden und in Folge die Schmerzen gelindert. Hierdurch kann es zu einer deutlichen Verbesserung von Funktion und Beweglichkeit kommen. Auch bei anhaltenden Schmerzen nach erfolgtem Gelenkersatz (Knieprothese etc.) kann durch die TAPE eine Beschwerdelinderung erreicht werden.
Weitere CT-gesteuerte Schmerztherapien
Darüber hinaus gibt es weitere CT-gesteuerte Verfahren, mit welchen minimal-invasiv gezielt Schmerzquellen behandelt werden können. Ein Beispiel ist die Truncus-coeliacus-Blockade, die zur Linderung von Schmerzen im Oberbauch, insbesondere bei chronischen Tumorschmerzen (z. B. Bauchspeicheldrüsenkrebs), eingesetzt wird. Hierdurch kann eine deutliche Schmerzreduktion oder -freiheit für mehrere Wochen bis Monate erreicht werden. Diese Methode ist besonders geeignet für Patienten mit schwer behandelbaren Schmerzen im Oberbauch und kann die Lebensqualität erheblich verbessern.
CT-gesteuerte Sympathikolyse

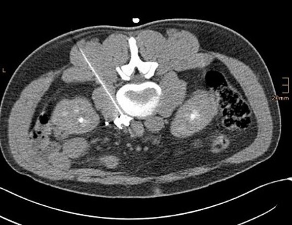
Die CT-gesteuerte Sympathikolyse ist ein minimal-invasives Verfahren zur Behandlung chronischer Schmerzen, die durch das vegetative Nervensystem verursacht werden. Aber auch bei Patienten mit fortgeschrittener, peripher arterieller Verschlusserkrankung (Schaufenstererkrankung) kann die Sympathikolyse sinnvoll sein, um eine Verbesserung der Durchblutung des entsprechenden Beines zu erreichen. Unter CT-Kontrolle wird eine dünne Nadel präzise an den Sympathikus-Nerv herangeführt. Nach einer Probeinjektion werden entsprechende Medikamente injiziert, um den Nerv gezielt zu deaktivieren.
Anlage zentralvenöser Zugänge
Implantationen von Portsystemen

Zentralvenöse Zugänge sind essenzieller Teil verschiedener medizinischer Behandlungskonzepte. Sollte ein zentralvenöser Zugang für eine länger Dauer (mindestens 3 Monate) benötigt werden, macht die Implantation eines Portsystems Sinn. Dies ist zum Beispiel für eine Chemotherapie der Fall. Ein solches Portsystem besteht aus einer sogenannten Kammer und dem eigentlichen Portkatheter. Die Kammer befindet sich unter der Haut und ist hier gut tastbar. Diese wird vor Verwendung des Portsystems mit einer speziellen Nadel punktiert, so dass das Portsystem dann z.B. für Infusionen oder auch Kontrastmittelgaben im Rahmen einer CT-Untersuchung verwendet werden kann. Der Katheter wird unter Bildsteuerung in eine zentrale Vene kurz vor dem Herzen vorgebracht.
Die häufigsten Implantationsstellen eines Portsystems sind der Brustbereich (sog. pektoraler Port) und der Unterarm. Die Implantation eines Unterarmports ist ein in lokaler Betäubung stattfindender minimal-invasiver Eingriff, der auch ambulant durchgeführt werden kann. Das Portsystem ist unmittelbar nach der Implantation für die Nutzung bereit.
Anlage von PICC-Line-Kathetern
Sollte ein zentralvenöser Katheter nur für eine kürzere Zeitdauer (< 3 Monate) benötigt werden, kann die Anlage eines peripher inserierten zentralen Katheters (PICC-Line) indiziert sein.
Bei diesem minimal-invasiven Eingriff wird unter sonographischer Kontrolle eine geeignete Vene am Oberarm punktiert, und über diesen Zugangsweg ein geeigneter Katheter bis in eine zentrale Vene nahe des Herzens vorgeführt. Der so platzierte Katheter kann dann für verschiedene Therapien, wie Antibiotika, aber auch parenterale Ernährung, verwendet werden.
CIRSE Patienteninformation: Peripher inserierter zentralvenöser Katheter (PDF)
Im- und Explantation von Vena-cava-Filtern

Ein Vena-cava-Filter oder Cava-Schirm ist ein kleines Implantat in der unteren Hohlvene (Vena cava inferior), das Blutgerinnsel abfängt und so eine Lungenembolie verhindert. Er kommt zum Einsatz, wenn bei Vorliegen einer tiefen Beinvenenthrombose ein hohes Embolierisiko besteht und eine Blutverdünnung nicht möglich oder nicht ausreichend wirksam ist. Die Implantation, sowie das Entfernen des Filters erfolgt über einen kleinen Gefäßzugang über die Leisten-, bzw. Halsvene.
Minimal-invasive Bergung von Fremdkörpern aus dem Körper
Die endovaskuläre Bergung ist ein minimalinvasives Verfahren zur Entfernung von verbliebenen Fremdkörpern (exemplarisch Katheterteile, Stents, Drahtfragmente) aus Blutgefäßen um Komplikationen, wie z.B. Thrombosen, zu vermeiden. Unter Einsatz eines dünnen Schlingenkatheters, der über eine Arterie oder Vene eingebracht wird, können die entsprechenden Fremdkörper meist vollständig geborgen werden und ein operativer Eingriff so vermieden werden.
Behandlung des Pfortaderhochdrucks – TIPS-Anlage

Das Vorliegen eines Pfortaderhochdrucks, zum Beispiel in Folge einer Leberzirrhose, kann zu lebensbedrohlichen Komplikationen, wie Blutungen aus Krampfadern der Speiseröhre und dem Magen führen. Zudem gibt es weitere Komplikationen, wie die Ausbildung von Bauchwasser, welche die Lebensqualität der betroffenen Patienten maßgeblich beeinträchtigen können.
Die Anlage eines transjugulären intrahepatischen portosystemischen Shunts (TIPS) ist ein interventionell-radiologisches Verfahren, welches dem Pfortaderhochdruck entgegenwirkt. Hierbei wird über einen kleinen Zugangsweg über eine Halsvene eine künstliche Verbindung zwischen der Pfortader und der Lebervene geschaffen.
Neben der TIPS-Anlage kann es notwendig sein, während derselben Untersuchung größere Umgehungsgefäße beziehungsweise Krampfadern zu verschließen, um das Risiko einer Blutung in Zukunft noch weiter zu reduzieren und den Blutfluss über den neuen Shunt zu verstärken.
Selektive Blutentnahme aus Venen zur Hormonbestimmung

Ist ein Bluthochdruck medikamentös nicht ausreichend beherrschbar, müssen organische Ursachen ausgeschlossen werden. Eine Ursache für eine arterielle Hypertonie kann in einem hormonellen Ungleichgewicht liegen. So kann zum Beispiel ein Überangebot von speziellen Hormonen (wie Aldosteron oder Cortison) aus der Nebenniere zugrunde liegen.
Sollte der Verdacht auf eine solche hormonell bedingte arterielle Hypertonie bestehen, ist es für die weitere Therapieplanung relevant, ob beide Nebennieren, oder nur eine Nebenniere für das Überangebot von Aldosteron verantwortlich ist.
Neben weiteren Labor- und bildgebenden Untersuchungen kann in diesem Zusammenhang die seitengetrennte Gewinnung von Blutproben direkt aus den Nebennierenvenen therapieentscheidend sein. Bei der selektiven Nebennierenvenenblutentnahme handelt es sich um ein minimal-invasives Verfahren, bei welchem über die Leistenvene unter Einsatz verschiedener Katheter die sehr kleinen Nebennierenvenen unter Bildsteuerung aufgesucht, und aus diesen Blutproben gewonnen werden. Diese werden anschließend im Labor analysiert.
Entlastung der Gallenwege (PTCD)

Die PTCD ist ein minimal-invasives Verfahren, das zur Ableitung der Gallenflüssigkeit eingesetzt wird, wenn der normale Abfluss gestört ist. Dies kann durch Tumore, Gallensteine oder andere Verengungen der Gallengänge verursacht werden und zu lebensbedrohlichen Komplikationen führen. Die Drainage wird über die Haut (perkutan) durch die Leber (transhepatisch) in den Gallengang eingebracht.
Darstellung und Behandlung von Lymphfisteln und Lymphozelen mittels Lymphographie
Die Lymphographie ist ein bildgebendes Verfahren zur Darstellung des Lymphsystems. Dabei wird ein Kontrastmittel in die Lymphgefäße, z.B. über einen Lymphknoten in der Leiste injiziert, um diese sichtbar zu machen. Die Untersuchung dient der Diagnose von Erkrankungen des Lymphsystems. Gleichzeitig können Lymphleckagen in vielen Fällen therapiert werden.
Bildgezielte Biopsien

Für eine exakte Diagnosestellung und Planung der weiteren Therapie sind häufig histologische Untersuchungen durch einen Pathologen notwendig.
Bildgesteuert lassen sich aus den meisten Körperregionen Gewebeproben minimal-invasiv entnehmen. Die Eingriffe werden mittels eines kleinen Einstichs nach örtlicher Betäubung - ohne Operation und ohne Narkose - durchgeführt. Unter Bildkontrolle wird dabei eine Biopsienadel exakt zum anvisierten Herd vorgeführt. Der Untersucher hat während des Eingriffes ständig Kontakt zum Patienten. Das gewonnene Material wird im Institut für Pathologie begutachtet. Nach dem Eingriff erfolgt üblicherweise eine drei- bis sechsstündige stationäre Überwachung.
CIRSE Patienteninformation: Bildgeführte perkutane Biopsie (PDF)
Bildgezielte Einbringung von Drainagekathetern

Entsprechend den Biopsien lassen sich auch Flüssigkeitsansammlungen im Körper, z. B. bei entzündlichen Abszessen oder Zysten, bildgezielt und schonend entleeren. Dazu werden dünne Katheter in lokaler Betäubung eingelegt.
Weitere Kompetenzen
- Einlage von zentralen Venenverweilkathetern
- Minimalinvasive Bergung von Fremdkörpern aus dem Körper
- Im- und Explantation von Vena-cava-Filtern
- Selektive Blutentnahme aus Körpervenen zur Hormonbestimmung
Lehre, Forschung, Aus- und Weiterbildung für Ärzte und MTR
Das Fachgebiet Radiologie ist im Rahmen des klinischen Abschnittes des Studiengangs Humanmedizin durch einen eigenen Lehrstuhl am Medizincampus Oberfranken der Friedrich-Alexander-Universität Erlangen-Nürnberg vertreten. Neben dem Pflichtcurriculum werden für interessierte Studierende weitere freiwillige und vertiefende Vorlesungen, Seminare und Praktika angeboten. Im Rahmen unseres Wahlpflichtfaches können Studierende auch am Angiographie-Simulator erste Eingriffe selbstständig erlernen. Wir freuen uns über Studierende mit Interesse an Famulaturen und am Wahlfach Radiologie im praktischen Jahr. Auch eine wissenschaftliche Mitarbeit und Promotionen sind in unserem Institut möglich.
Für die Facharztweiterbildung Radiologie liegt die volle Weiterbildungsbefugnis (60 Monate) vor.
Unser umfangreiches Fortbildungsangebot richtet sich an alle interessierten ärztlichen Kolleginnen und Kollegen im Klinikum sowie auch externe Ärztinnen und Ärzte sowie nichtärztliches medizinisches Personal. Bitte melden Sie sich bei Interesse an einer Teilnahme über das Direktionssekretariat.
Unser Institut betreut klinische Studien- und Forschungsprojekte zu verschiedenen Fragestellungen mit dem Ziel die Diagnostik, Behandlung und das Verständnis von Erkrankungen zu verbessern.
In Kooperation mit den Berufsfachschulen für MTR bieten wir die praktische Ausbildung zum/zur Medizinischen Technologen/Technologin für Radiologie an.
Aktuelle Meldungen
Neues MRT-Zentrum am Klinikum Bayreuth
Das Bayreuther Krankenhaus der maximalen Versorgungsstufe sorgt für mehr Qualität und mehr Kapazität für Patientinnen und Patienten.
Aktuelle Veranstaltungen
Offene Stellen
- Oberarzt (m/w/d) Neuroradiologie
- Medizinischer Technologe für Radiologie (m/w/d) (MTR) - Institut für Radiologie und Neuroradiologie
- Medizinische Fachangestellte (m/w/d) für die Röntgenanmeldung im Institut für diagnostische und interventionelle Radiologie
- Medizinischer Technologe für Radiologie (MTR) (m/w/d) im Institut für Radiologie und interventionelle Therapie
- Assistenzarzt (m/w/d) für das Institut für Radiologie, Neuroradiologie und interventionelle Therapie








